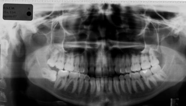
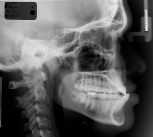
Caso Clínico 1

Tratamento da maloclusão de Classe III com elásticos intermaxilares e controle mecânico do arco inferior

Caso Clínico 1

Caso Clínico 1

Caso Clínico 1

Caso Clínico 1

Caso Clínico 1

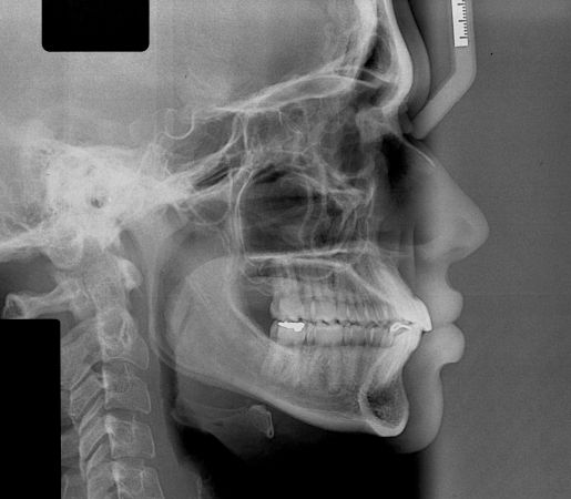
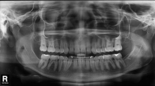
Final

Caso Clínico 1

Final

Caso Clínico 1

Final

Caso Clínico 1

Final

Home | História do Curso | Área de Concetração | Área de Domínio Conexo | Próximo Curso | Inscrições | Casos Clínicos | Galeria de Fotos | Parceiros | Fale Conosco Digital.Com.VC - Criação de Sites
Avenida do Café, S/N  -  Monte Alegre  -  Ribeirão Preto  -  16 3315-3956  /  16 3315-4079  /  16 9238-0712
Orto Ribeirão Preto
© 2026. Todos os direitos reservados.