Caso Clínico 2

Tratamento ortodôntico corretivo com extração do 1o incisivo inferior.

Caso Clínico 2

Iniciais

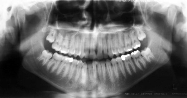
Caso Clínico 2

Panorâmica inicial

Caso Clínico 2

Telerradiografia e traçado inicial

Caso Clínico 2

Finais

Caso Clínico 2

Superposições cefalométricas

Caso Clínico 2

Telerradiografia e traçado final

Home | História do Curso | Área de Concetração | Área de Domínio Conexo | Próximo Curso | Inscrições | Casos Clínicos | Galeria de Fotos | Parceiros | Fale Conosco Digital.Com.VC - Criação de Sites
Avenida do Café, S/N  -  Monte Alegre  -  Ribeirão Preto  -  16 3315-3956  /  16 3315-4079  /  16 9238-0712
Orto Ribeirão Preto
© 2026. Todos os direitos reservados.