Caso Clínico 3

Tratamento de mordida aberta anterior com extração dos 1os molares permantes.

Caso Clínico 3

Iniciais

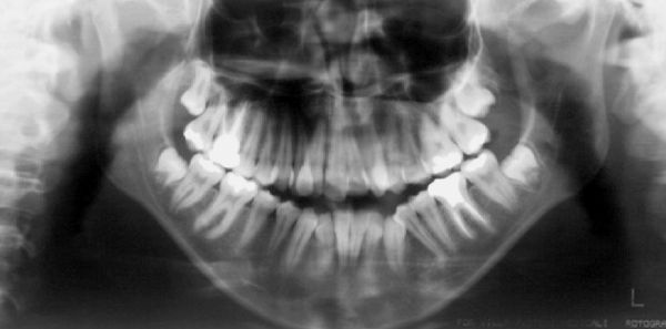
Caso Clínico 3

Radiografia inicial

Caso Clínico 3

Caso Clínico 3

Pós-contenção

Caso Clínico 3

Radiografia final

Caso Clínico 3

Telerradiografia e traçado final

Caso Clínico 3

Superposições cefalométricas

Caso Clínico 3

Finais

Home | História do Curso | Área de Concetração | Área de Domínio Conexo | Próximo Curso | Inscrições | Casos Clínicos | Galeria de Fotos | Parceiros | Fale Conosco Digital.Com.VC - Criação de Sites
Avenida do Café, S/N  -  Monte Alegre  -  Ribeirão Preto  -  16 3315-3956  /  16 3315-4079  /  16 9238-0712
Orto Ribeirão Preto
© 2026. Todos os direitos reservados.